Skip to content
Surprising Science

Study: Psychopathy could be caused by impaired attention mechanisms in brain

Psychopathy is a “wildly misunderstood corner of mental health research,” according to the author of a new study on psychopathy and attention mechanisms in the brain.
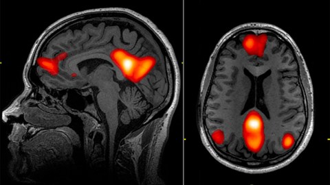
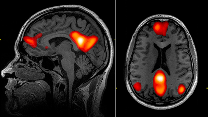
Brain scan/public domain
Sign up for Big Think on Substack
The most surprising and impactful new stories delivered to your inbox every week, for free.


A new study on psychopathy suggests the disorder could be caused by impairments to brain regions associated with attention.

The results, published in Cognitive, Affective, & Behavioral Neuroscience, add to a body of research showing links between psychopaths and attention disorders.

Psychopathy is a “wildly misunderstood corner of mental health research,” according to study author Nathaniel E. Anderson.

“The public tends to view psychopaths as monsters and lost causes,” Anderson told PsyPost. “I want to encourage the recognition that this is a serious mental health condition that can be addressed with the same tools we use to study things like schizophrenia, autism, and depression.”

Anderson and his colleagues recruited 168 adult male prisoners to participate in an auditory oddball task, in which participants were instructed to click a button whenever they heard a particular tone. The auditory task was conducted inside a functional magnetic resonance imaging (fMRI) machine that measures activity in various regions of the brain.

Each participant was also measured for psychopathic traits using the Hare Psychopathy Checklist-Revised (PCL-R), a commonly used psychological test that measures psychopathic personality traits like shallow affect, parasitic lifestyle, pathological lying and proneness to boredom.

The results showed that participants who scored higher on the psychopathy checklist also displayed abnormalities in brain regions associated with attention, including the anterior temporal cortex, medial prefrontal cortex, dorsal anterior cingulate, temporoparietal junction, and posterior cingulate cortex.

“The basic message is pretty simple. Psychopathic traits are commonly attributed to deficits in emotional processes that lead to the severe consequences in judgement and behavior,” Anderson told PsyPost.

“What this study shows is that there may be even more fundamental processes that are impaired – specifically, the way the brain encodes differences between what is important and what is not, even without emotional content involved – and this has more to do with attention.”

The study authors suggest psychopathy might be caused by an inability of different functional networks of the brain to integrate properly. For example, psychopaths might not be able to efficiently switch from a wakeful rest state (default mode) to one in which they can readily make decisions.

“The reason emotional processing might be impaired in psychopaths to begin with, is because a psychopathic brain doesn’t attend to emotional information in the same way a healthy brain does,” Anderson said. “So it’s not integrated strongly into more complex processes like decision-making.”

However, the study is limited in that it only examined adult male prisoners performing one specific task under an fMRI machine. Still, Anderson hopes studies like his will continue to shed light on psychopathy, which he said has too often been framed as a disorder fueled by evil instead of fundamental brain abnormalities.

“As a consequence, the behaviors and traits that we would most benefit from preventing and treating go unattended,” Anderson told PsyPost. “People with psychopathic traits are unfortunately among the most neglected by one of society’s best tools: scientific research.”

Sign up for Big Think on Substack
The most surprising and impactful new stories delivered to your inbox every week, for free.

Related

Up Next