Lymphocyte transdifferentiation

Big Think Home
  • Search
    Popular Searches
    Critical thinkingPhilosophyEmotional IntelligenceFree Will
    Latest Videos
    Latest Articles
  • Topics

    Philosophy

    • Ethics
    • Religion
    • Flourishing
    • Knowledge
    • Philosophy of Science
    • Philosophy of Art
    • Language
    • Political Theory
    • Identity
    • Meaning & Purpose

    Science & Tech

    • Physics
    • Biology
    • Aerospace
    • Health
    • Geology
    • Computing
    • Engineering
    • Energy
    • Biotechnology
    • Astronomy

    Mind & Behavior

    • Psychology
    • Neuroscience
    • Decision-Making
    • Mental Health
    • Consciousness
    • Emotional Intelligence
    • Personality
    • Relationships
    • Parenting

    Business

    • Entrepreneurship
    • Leadership
    • Finance
    • Marketing
    • Innovation
    • Strategy
    • Management
    • Artificial Intelligence
    • Startups
    • Economics

    History & Society

    • History
    • Literature
    • Art
    • Music
    • Film
    • Progress
    • Culture
    • Sociology
    • Policy
    • Geopolitics
  • Latest
  • Videos
    Latest Videos
    See All
  • Columns
  • Classes
    Featured Classes
    Browse
  • More
    • Newsletters
    • Monthly Issues
    • Events
    • Big Think+ Learning
    • Creative Studio
    • Advertise with Us
    • About
    • Careers
    • View our Twitter (X) feed
      View our Youtube channel
      View our Instagram feed
      View our Substack feed
      View our Spotify feed
Sign In Membership
  • My account
    • My Classes
    • My Account
    • My List
    • BT+ for my Business
    • Early Releases
    • Sign Out
  • Membership
  • Latest
  • Topics
    Back

    Philosophy

    • Ethics
    • Religion
    • Flourishing
    • Knowledge
    • Philosophy of Science
    • Philosophy of Art
    • Language
    • Political Theory
    • Identity
    • Meaning & Purpose

    Science & Tech

    • Physics
    • Biology
    • Aerospace
    • Health
    • Geology
    • Computing
    • Engineering
    • Energy
    • Biotechnology
    • Astronomy

    Mind & Behavior

    • Psychology
    • Neuroscience
    • Decision-Making
    • Mental Health
    • Consciousness
    • Emotional Intelligence
    • Personality
    • Relationships
    • Parenting

    Business

    • Entrepreneurship
    • Leadership
    • Finance
    • Marketing
    • Innovation
    • Strategy
    • Management
    • Artificial Intelligence
    • Startups
    • Economics

    History & Society

    • History
    • Literature
    • Art
    • Music
    • Film
    • Progress
    • Culture
    • Sociology
    • Policy
    • Geopolitics
  • Videos
    Back
    Latest Videos
  • Columns
    Back
    Columns
  • Classes
    Back
    Featured Classes
  • My Account
    Back
    • My Classes
    • My Account
    • My List
    • BT+ for my Business
    • Early Releases
    • Sign Out
  • Sign In
  • Membership
  • More
    Back
    • Newsletters
    • Monthly Issues
    • Events
    • Big Think+ Learning
    • Creative Studio
    • Advertise with Us
    • About
    • Careers
    • View our Twitter (X) feed
      View our Youtube channel
      View our Instagram feed
      View our Substack feed
      View our Spotify feed
View our Twitter (X) feed
View our Youtube channel
View our Instagram feed
View our Substack feed
View our Spotify feed
Search
Popular Searches
Critical thinkingPhilosophyEmotional IntelligenceFree Will
Latest Videos
Latest Articles

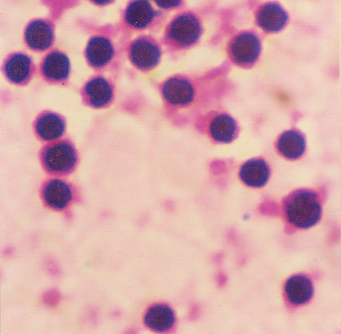
Lymphocyte transdifferentiation

This was a chance discovey.We stimulated peripheral blood lymphocytes with latex lectin to find that they changed to other blood cell types.We refined the method and used a nitric oxide donor sodium nitroprusside to get similar results,thus bringing all the different blood cells under one roof.

by
jagesh kamath
May 23, 2009
Get the Big Think newsletter on Substack



Learn from the world's biggest thinkers.
  • Videos
    • Latest
    • The Big Think Interview
  • Columns
    • Mini Philosophy
    • Starts with a Bang
    • Big Think Books
    • The Long Game
    • Strange Maps
    • 13.8
    • The Well
    • Rethinking Possible
  • Sections
    • Philosophy
    • Mind & Behavior
    • Science & Tech
    • Business
    • History & Society
  • Classes
    • Class Library
  • Subscribe
    • Membership
    • Free Newsletters
  • Partner
    • Big Think+ Learning
    • Creative Studio
    • Advertise with Us
    • Events
  • More
    • About
    • Careers
    • Contact
    • Privacy Policy
    • Terms of Sale
    • Accessibility
View our Twitter (X) feed
View our Youtube channel
View our Instagram feed
View our Substack feed
View our Spotify feed
© Copyright 2007-2026 & BIG THINK, BIG THINK PLUS, SMARTER FASTER trademarks owned by Freethink Media, Inc. All rights reserved.