Skip to content
Health

The Mystery of a Boy Who Lost the Vision Center of His Brain But Can Still See 7 Years Later

The case of a 7-year-old Australian boy who was supposed to lose sight at two weeks old but can still see has stunned scientists.
Credit: Inaki-Carril Mundinano, Juan Chen, Mitchell de Souza, Marc G. Sarossy, Marc F. Joanisse, Melvyn A. Goodale, James A. Bourne.
Sign up for Big Think on Substack
The most surprising and impactful new stories delivered to your inbox every week, for free.

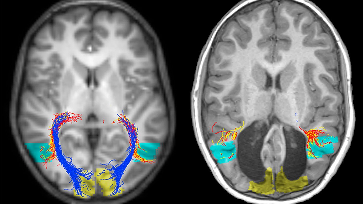
Researchers in Australia recently presented a study of a 7-year-old boy who is missing most of his visual cortex but surprisingly can still see. It is the first known case of this kind.

When he was only two weeks old, the boy suffered serious damage to his visual cortex, the part of the brain that manages sensory nerve impulses from our eyes, as a result of a rare metabolic disorder called medium-chain acyl-Co-A dehydrogenase deficiency. This condition prevents tissues from converting some types of fats into energy.

The boy, referred to only as “B.I.” by the researchers from the Australian Regenerative Medicine Institute at Monash University, ended up without of his visual cortex. This is usually a situation that would result in cortical blindness, an illness where the brain can still get visual input but cannot process what it is seeing, making the person feel like they have sight but not actually allowing them to see. The boy, however, can see almost anything on par with other kids his age, able to play soccer or video games and read emotions on people’s faces.

The scientists studied the unusual case, hoping to understand what makes B.I.’s condition so unique. Through MRI-scanning they found a remarkable instance of the brain’s neuroplasticity, with the boy’s visual pathway of neural fibers in the back of the brain enlarged. This adaptation means that the pathway allows the boy to see by doing the work of the visual cortex.

“Despite the extensive bilateral occipital cortical damage, B.I. has extensive conscious visual abilities, is not blind, and can use vision to navigate his environment,” write the researchers in the study.

You can read their study here.

Sign up for Big Think on Substack
The most surprising and impactful new stories delivered to your inbox every week, for free.

Related

Up Next